Traitements conservateurs et éviter la douleur
Les obturations dentaires permettent de reconstruire les dents cariées et les couronnes dentaires partiellement détruites afin de restituer la fonction masticatoire et de rétablir la morphologie et l’esthétique de la dent.
1 - La reconstitution directe
La reconstitution directe se fait au cabinet en une seule fois en utilisant une résine composite.
Cette technique est rapide, pratique, esthétique avec un prix très raisonnable.
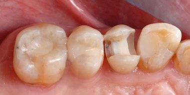
2- La technique indirecte
La technique indirecte, consiste à prendre l'empreinte de la cavité, une fois que la carie est enlevée. Le technicien fabrique en suite l’obturation sur le moule et le dentiste mettra en place la construction avec soit un ciment, soit un système de collage dépendent du matériau qui aura été choisi. Cette technique à comme avantage d'être plus satisfaisante quand la cavité est très grosse au niveau d’adaptation avec la dent qui reste et les dents adjacentes, et elle est durable et plus esthétique.
On a le choix entre composite et la céramique.
Le médecin-dentiste choisira le matériau d’obturation en fonction de la lésion et de son emplacement (dent frontale, dent latérale, très gros cavité).

3 - Remplacer les amalgames
L’amalgame ne colle pas du tout à la surface dentaire. S’il tient, c’est uniquement parce qu’on lui a donné une forme qui croche. Quand on mord sur une obturation (« plombage ») en amalgame, c’est donc un peu comme si on croquait sur un petit caillou, qui sépare les deux moitiés de la dent sans les retenir. Cela explique pourquoi on peut détecter de petites ou grandes fissures dans la majorité des dents desquelles on enlève d’anciennes obturations en amalgame. Il est en effet relativement fréquent qu’une dent refaite en amalgame se casse après quelque temps.
Le composite, contrairement à l’amalgame, adhère fortement à la dent. Cela signifie qu’il solidarise en même temps les différentes parties de la dent en les collant ensemble. Il est beaucoup plus rare qu’une dent réparée en composite se casse qu’une dent avec un amalgame. Et même dans ces rares cas, la fracture est généralement nettement moins dramatique. Ces constats nous amènent régulièrement à proposer le remplacement d’obturations en amalgame par du composite, pour prévenir des fractures dentaires.
Facettes - Les facettes sont de minces coquilles
Les problèmes que les facettes peuvent arranger pour améliorer l’aspect du sourire :
• Les dents colorées qu'un blanchiment ne peut pas améliorer.
• Les dents moyennement usées
• Les dents fracturées.
• Les dents un peu tordues ou malformées.
• Les espaces entre les dents.
Les facettes durent environ 10 ans ou plus, à condition qu’on ait une bonne hygiène buccale. Après ce temps il peut être nécessaire de les remplacer.


Traitement de racine (endodontie)
La pulpe (nerf de la dent) nourrit la dent. Sans cet apport, la dent deviendrait friable et se casserait. Malgré la fonction importante de la
pulpe, il peut s’avérer utile de la traiter, voire de l’extraire, la plupart du temps à cause d’une carie ou d’une inflammation ou parce que
le nerf a été endommagé lors d’un accident.
Chaque fois que c’est possible, le médecin-dentiste tente de sauver la pulpe, donc de garder la dent « en vie ». Lorsque ce n’est plus possible, il doit dévitaliser la dent (traitement de la racine). La dent demeure alors fixée dans la mâchoire, mais ne provoque plus de douleurs.
Ensuite il faut reconstituer la dent de façon que les futures fractures soient évitées.



Parodontie
Les affections du parodonte sont provoquées par le dépôt bactérien sur les dents, la plaque. Le traitement vise avant tout à éliminer cette plaque et le tartre qu’elle produit sur les dents et sous les gencives.
En fonction de la gravité et de l’évolution de l’affection, le médecin-dentiste procède de la façon suivante:
1. Pratique de l'hygiène dentaire
La base la plus importante ! Sans une hygiène buccale acceptable et parfois minutieuse, on arrive qu’à la moitié du chemin de la guérison.


2. Élimination du dépôt, nettoyage, lissage et polissage de la racine
Les dents, naturelles ou munies de couronnes artificielles, et les parties de la racine dénudées sont débarrassées de tout dépôt de bactéries (plaque et tartre), toutes les taches sont lissées, éventuellement polies. Ce sont les plus importantes mesures du traitement parodontal ; elles peuvent suffire à guérir les affections de peu de gravité. Par contre on ne peut pas récupérer l’os ou la gencive qui a régressé à cause de la parodontite, on ne peut que la stabilisé pour que ça ne se aggrave pas.
3. Opérations de la gencive
Pour les cas plus graves, les deux premières étapes ne mènent pas toujours à la guérison ni à l’élimination complète de l’inflammation, particulièrement lorsque des bactéries et des restes de tartre sont demeurés inaccessibles. Seule une intervention chirurgicale avec ouverture de la gencive permet de nettoyer ces zones problématiques. Le médecin-dentiste profite de cette intervention pour diminuer les poches et ouvrir les zones dans lesquelles les bactéries se cachent afin d’améliorer l’accessibilité aux espaces inter-dentaires.
4. Médicaments
En cas d’infestation tenace des poches profondes, le médecin-dentiste complétera le traitement mécanique en prescrivant des médicaments.



